Facebook Twitter
  • Inicio
  • Cancer
  • Enfermedades
    • Alzheimer
    • Parkinson
    • Psoriasis
  • Diabetes
  • Especialidades
    • Bioingeniería
    • Cardiologia
    • Dermatologia
    • Diabetes
    • Embarazo
    • Genetico
    • Ginecologia
    • Neurologia
    • Nutricion
    • Oftalmologia
    • Odontologia
    • Pediatria
    • Psicologia
  • Investigacion
  • Salud  
    • Interesante
    • Nutricion
  • Virus   
    • MERS
    • VIH  
Buscar
Facebook Twitter
sábado, abril 11, 2026
  • Contactos
  • Nosotros
  • Política de Privacidad
Registrarse
¡Bienvenido! Ingresa en tu cuenta
¿Olvidaste tu contraseña? consigue ayuda
Política de Privacidad
Recuperación de contraseña
Recupera tu contraseña
Se te ha enviado una contraseña por correo electrónico.
Medical Press Medical Press
Medical Press Medical Press
  • Inicio
  • Cancer
  • Enfermedades
    • Alzheimer
    • Parkinson
    • Psoriasis
  • Diabetes
  • Especialidades
    • Bioingeniería
    • Cardiologia
    • Dermatologia
    • Diabetes
    • Embarazo
    • Genetico
    • Ginecologia
    • Neurologia
    • Nutricion
    • Oftalmologia
    • Odontologia
    • Pediatria
    • Psicologia
  • Investigacion
  • Salud  
    • Interesante
    • Nutricion
  • Virus   
    • MERS
    • VIH  
Inicio Etiquetas Terapia fotodinámica

Etiqueta: terapia fotodinámica

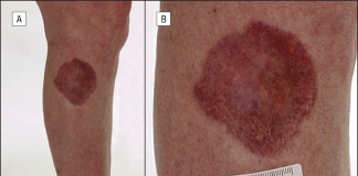
Tratamiento con exito de necrobiosis lipoidica con terapia fotodinámica

2018-03-09
Ultimas busquedas
  • admin panel
  • eveningrjk
  • козентикс ПЕРЕВОД НА КИТАЙСКИЙ
  • friendlyh0h
  • s3 medicalpress es

Popular Posts

Medical Press
Medical Press es un portal sin ánimo de lucro, líder en España sobre estudios científicos en la área de la medicina.

Todos los estudios científicos publicados son redactados por profesionales de la salud y incluyen la fuente del estudio.

Los materiales contenidos en este sitio web no constituyen consejo médico o farmacéutico, que se debería pedir a los asesores médicos y farmacéuticos cualificados.
Contáctanos: [email protected]
Facebook Twitter
  • Sobre Nosotros
  • Política de Privacidad
  • Contactos
© 2024 Medical Press