
Investigadores de la Universidad del Instituto Cerebral Hotchkiss de Calgary (HBI) han hecho un descubrimiento que podría conducir a un mejor tratamiento para los pacientes que sufren de cáncer de cerebro.
A pesar de las estrategias actuales de tratamiento, la mediana de supervivencia para los pacientes con el cáncer cerebral más agresivo – llamado glioblastoma, es de 15 meses. Menos del cinco por ciento de los pacientes sobreviven más de cinco años.
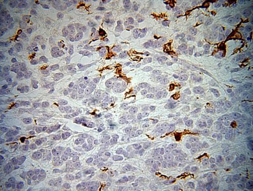
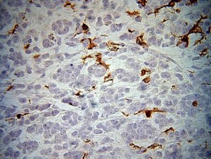
Miembro de HBI V. Wee Yong , PhD e investigador asociado Susobhan Sarkar, PhD, y su equipo que incluye investigadores del Departamento de Neurociencias Clínicas y el sur de Alberta Cancer Research Institute de la Universidad, miraron muestras de tumores cerebrales humanos y descubrieron que las células inmunes especializadas en el cerebro de pacientes con tumor se vean comprometidos.
Los investigadores tomaron este descubrimiento y, en un modelo animal, identificaron un medicamento que es capaz de volver a activar las células inmunes y reducir el crecimiento del tumor en el cerebro, aumentando de este modo la vida de los ratones dos a tres veces. Su descubrimiento se publicará 08 de diciembre en la prestigiosa revista Nature Neuroscience.
Nuestros cerebros normalmente contienen células especializadas, llamadas microglia, que defienden contra la lesión o infección.» La microglía es un propio sistema inmune específico del cerebro», explica Yong.» Y en este estudio, hemos demostrado formalmente por primera vez que estas células se ven comprometidas en pacientes de tumor de cerebro vivo.»
Al igual que con otras formas de cáncer, tumores cerebrales empiezan como células madre – como individuales – se llama tumor cerebral a las células iniciadoras ( BTICs ). Estas células se dividen rápidamente y crecen, formando una masa o tumor. Yong y su equipo han descubierto que el tumor desactiva la microglía, permitiendo la rápida proliferación de BTICs, lo que conduce finalmente al crecimiento del tumor cerebral.
«Nos referimos a esto como la batalla por el cerebro, en el que al principio de la enfermedad, la microglia están tratando de destruir el tumor cerebral iniciar células», dice Yong. «Pero en el transcurso del tiempo, el tumor se desactiva la microglia y empezamos a ver más células que inician el crecimiento del tumor y más rápida. Hemos tratado de inclinar la batalla a favor del cerebro para suprimir el tumor.»
Además de descubrir este mecanismo, Yong y Sarkar también identificaron una droga – anfotericina B (AMPB) – para reactivar la microglia que en un modelo animal, mostró una reducción significativa en el crecimiento del tumor cerebral.
«Esta droga fue capaz de volver a activar la microglia discapacitados», dice Sarkar,» restaurando así los mecanismos de defensa naturales del cuerpo y la restricción del crecimiento de las células que inician tumor cerebral.»
La droga que se identifico es un poderoso agente que ya se utiliza clínicamente para tratar infecciones fúngicas graves del cerebro y la médula espinal. «Es un medicamento bastante duro», dice Yong.» Pero hemos demostrado que este fármaco se puede utilizar en dosis muy pequeñas donde no sólo se tolera bien, pero también es eficaz en la re – programación de la microglia.»
Yong y Sarkar esperan que este descubrimiento lleve a los ensayos clínicos y en última instancia a un nuevo estándar de tratamiento para los pacientes con tumores cerebrales.
El hallazgo ya ha llamado la atención de investigadores de todo Canadá, incluyendo el científico tumor cerebral reconocido internacionalmente y el neurocirujano Dr. James Rutka.
«Esta investigación es muy importante, ya que implica que un medicamento disponible en el mercado, la anfotericina B, que nunca se ha utilizado antes para los pacientes con gliomas, puede ser un nuevo tratamiento para tener en cuenta en futuros ensayos de pacientes con este tipo de cáncer con frecuencia letal», dice el Dr. . Rutka , profesor y Presidente del Departamento de Cirugía de la Universidad de Toronto.
cancer cerebral, bloquear tumores cerebrales, microglia en cancer cerebral, reactivacion tumor cerebral, tumor de cerebro, tumos en el cerebro






