
Los resultados de un ensayo clínico de un nuevo tratamiento para el glioblastoma sugieren que los investigadores podrían haber encontrado un nuevo enfoque para el tratamiento de esta más agresivo de los tumores cerebrales, así como un posible nuevo marcador biológico que puede predecir la respuesta del tumor al tratamiento.
La presentación de la investigación para el Congreso Europeo del Cáncer 2013 ( ECC2013 ) hoy ( lunes), el profesor Wolfgang Wick dirá que la combinación de radioterapia con un medicamento contra el cáncer llamado APG101 – una proteína de fusión similar a un anticuerpo – bloquea una célula de señalización vía llamada CD95 que juega un papel crucial en el desarrollo del cáncer. » El bloqueo del sistema CD95 representa una nueva forma de abordar glioblastoma – un cáncer que tiene pocas opciones de tratamiento disponibles», dirá .
Un total de 84 pacientes con glioblastoma , que ya habían recibido tratamiento inicial incluye radioterapia y cuyo cáncer había reaparecido , se asignaron al azar en el ensayo clínico de fase II para recibir ya sea radioterapia sola o radioterapia con una dosis intravenosa de 400 mg de APG101 una vez por semana. Su edad media era de 57 años, y el juicio se llevó a cabo entre diciembre de 2009 y septiembre de 2011 en 25 centros de Alemania, Austria y Rusia.
Veintiún por ciento de los pacientes que fueron tratados con la combinación de radioterapia y APG101 todavía estaban vivos seis meses después de tratamiento, en comparación con el cuatro por ciento de los que fueron tratados con solo radioterapia. Después de dos años, el 22% de los pacientes que recibieron el tratamiento combinado estaban vivos en comparación con el siete por ciento de los pacientes que no lo recibieron. El riesgo de muerte se redujo en un 40 % en el grupo de tratamiento experimental, aunque esto no alcanzó significación estadística.
Prof Wick, Presidente del Programa de Neurooncología en el Centro Nacional de Enfermedades Tumorales y profesor de Neurooncología de la Universidad de Heidelberg (Alemania ) le dirá a la conferencia: » El glioblastoma es un tumor muy agresivo y de rápido crecimiento que muestra un crecimiento infiltrante, por lo que tratamientos locales de eficacia muy limitada. El tumor también es resistente a todos los tratamientos actuales de quimioterapia, y tiene efectos devastadores sobre la calidad de vida de los pacientes. Este tumor cerebral afecta a dos o tres personas por cada 100.000 habitantes, y se asocia con un pronóstico muy pobre, con una supervivencia global de 12 meses .
«Este es el primer ensayo controlado de volver a la irradiación y el primero lleva a cabo en pacientes con glioblastoma hasta ahora. Ya se sabía que APG101 podría ser un enfoque innovador para el tratamiento de glioblastoma, pero el tamaño de la molécula de proteína era potencialmente demasiado grande para cruzar la barrera sangre – cerebro de protección y de destino el tumor. Radioterapia abre esta barrera y por lo tanto pueden ser un vehículo eficaz para este compuesto».
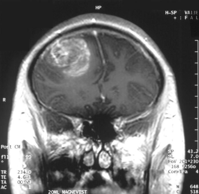
tratamiento de radio terapia y quimioterapia en tumor cerebral, Tumor cerebral grande






