
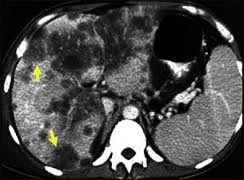
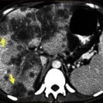
La obesidad infantil es una epidemia generalizada mundial y en paralelo con la causa no alcohólica del hígado graso (NAFLD) es la principal causa de enfermedad hepática en los niños. Los nuevos datos presentados hoy en el Congreso Internacional de Hígado de 2012 fomenta esta preocupación al mostrar que la obesidad infantil se vincula positivamente con el desarrollo de carcinoma hepatocelular – la forma más común de cáncer de hígado – en la edad adulta.
Un estudio danés controo el peso al nacer y el IMC en la edad escolar de 165.540 hombres y 160.883 mujeres nacidos entre 1930 y 1989. Los autores del estudio calcularon y compararon el riesgo de desarrollar carcinoma hepatocelular de los 252 participantes que habían desarrollado HCC en el seguimiento. A los 7 años el riesgo de carcinoma hepatocelular en desarrollo aumentó en un 1,12 por unidad de aumento en el IMC, sin embargo, a los 13 años este riesgo aumentó a 1,25. Por lo tanto, como unidades de IMC, aumentó en la edad adulta, por lo que el riesgo de desarrollar HCC. Este fue siempre similar en ambos sexos y edades.
El miembro del Comité Científico Dr. Frank Lammert comentó: «La obesidad infantil no sólo conduce al desarrollo de muchos trastornos metabólicos adversos, tales como la diabetes tipo 2 y enfermedades del corazón, sino también la enfermedad de hígado graso, que posteriormente puede dar lugar a cáncer de hígado La importancia. de mantener un índice de masa corporal saludable de la niñez no puede ser subestimada. Estos resultados alarmantes apuntan a una posible correlación entre la obesidad infantil y el desarrollo de cáncer de hígado en la edad adulta. »
Otros factores en el desarrollo de cáncer de hígado incluyen las condiciones alcohólicas, la infección por hepatitis B y C y otras enfermedades del hígado. (5) Los resultados no cambiaron cuando los participantes con estas comorbilidades fueron retirados del estudio, lo que indica que la obesidad infantil fue el principal factor en el desarrollo de carcinoma hepatocelular. Sólo en torno al 10-20% de los cánceres de hígado se puede extirpar completamente con cirugía y si esto no tiene éxito la enfermedad suele ser mortal a los 3-6 meses. (3) Por lo tanto la prevención es la mejor protección contra el desarrollo de cáncer de hígado.






