La diabetes se puede diagnosticar con una prueba de bajo costo...
Como las tasas de obesidad infantil aumentan, también lo hacen las tasas de diabetes tipo 2 en niños. Junto con el aumento de la...
El alcohol no beneficia al corazón, afirma nuevo estudio
Un nuevo estudio encuentra que incluso entre las personas que beben sólo ligeras a moderadas cantidades de alcohol, reducir el consumo puede mejorar la...
Microchip anticonceptivo: ¿podría revolucionar el control mundial de la natalidad?
Microchips, una empresa de tecnología con enlaces a Instituto de Tecnología de Massachusetts, está desarrollando un nuevo anticonceptivo radical - un diminuto microchip implantado...
Deje de consumir azúcar por un 1 año y esto fue...
Érase una vez una época en la que yo era sana – o al menos pensaba que lo era.
Naturalmente me faltaba la energía suficiente...
¿Cuáles son los beneficios para la salud de las setas?
Setas, aunque clasificado como verduras en el mundo de la alimentación, no son técnicamente plantas. Pertenecen al reino de los hongos y aunque no...
Los riesgos de cáncer de páncreas bajados con el uso regular...
Bajo la dirección de sus médicos, muchos pacientes toman aspirina diariamente para reducir los riesgos de ataques cardíacos. Pero un nuevo estudio, realizado por...
Estudio genético sugiere una relación causal entre la deficiencia de vitamina...
Nuevas investigaciones genéticas proporciona pruebas concluyentes de que los bajos niveles de vitamina D tienen un papel causal en el desarrollo de la presión...
Medicamento para la artritis, ayuda hombre calvo crecer pelo en la...
No existe cura o tratamiento para la alopecia universal, una enfermedad autoinmune poco común que causa la pérdida de cabello en todo el cuero...
Comer alimentos de origen animal, aumenta el riesgo de enfermedades?
El bioquímico Colin Campbell, que estuve el pasado miércoles por primera vez en Portugal, admite que debería haber más estudios para demostrar que una...
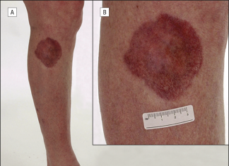
Tratamiento con exito de necrobiosis lipoidica con terapia fotodinámica
A los 60 años de edad, una mujer blanca fue visitada en situación clínica con 10 años de historia de 4 manchas progresistas asintomáticas...
Diabetes tipo 1 ‘revertida’ en ratones
La Diabetes tipo 1 representa alrededor del 5% del total de la diabetes y por lo general se diagnostica en personas jóvenes. No existe...
Monitorización de la glucosa para la diabetes con un método sin...
El tratamiento de la diabetes requiere una vigilancia constante de la sangre humana en busqueda de las concentraciones de glucosa. Mientras que los esquemas...












