Fármaco reduce los cambios cerebrales y déficits motores asociados con la...
Un fármaco que actúa como proteína promotora del crecimiento en el cerebro reduce el déficit de degeneración y motor asociados con la enfermedad de...
Combinación de drogas erradica el cáncer de cerebro
Una nueva combinación de drogas estimulación inmunológica erradica el cáncer de cerebro en ratones, según un estudio en el Journal of Experimental Medicine.
El glioblastoma...
La oxitocina conduce a la monogamia: Hormona estimulante del sistema de...
¿Cómo se mantiene el vínculo entre las personas que se enamoran? Los científicos del Centro Médico de la Universidad de Bonn han descubierto un...
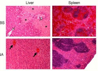
Descubierto nuevo método para aumentar la supervivencia en la sepsis
Sepsis es la respuesta del organismo a infecciones graves, mata a más personas que el cáncer de mama, cáncer de próstata y el VIH/SIDA...
FDA aprueba nuevo tratamiento para la hepatitis C
La FDA ha aprobado un nuevo medicamento para la infección crónica de la hepatitis C que algunos expertos esperan reducir los efectos secundarios de...
Un estudio muestra el potencial de la marihuana para el tratamiento...
Un nuevo estudio de investigadores de la Universidad de Carolina del Sur proporciona evidencia de que el THC (tetrahidrocannabinol), un ingrediente principal en la...
Carne, huevos y productos lácteos contienen nutrientes esenciales para el desarrollo...
La asparagina, que se encuentra en alimentos como la carne, huevos y productos lácteos, ha sido hasta ahora considerado no esencial ya que es...
Un nuevo objetivo para el tratamiento de la diabetes
En su laboratorio de biología sintética, Karmella Haynes centra gran parte de su esfuerzo en el desarrollo de mejores formas de explorar cómo las...
¿Puede una dieta vegana ser segura para el embarazo?
Una popular colaboradora de Instagram ha adquirido especial atención porque ella es vegetariana, come alimentos crudos principalmente, y está embarazada. La mayoría de sus...
Sushi puede aumentar el riesgo de enfermedad cardiovascular
Comer sushi puede aumentar el riesgo de enfermedad cardiovascular. Un estudio reciente mostró que el sashimi de atún contiene los niveles más altos de...
¿El envejecimiento de las células se conviertan en cáncer?
Los cánceres que ocurren en nuestra vida podría ser solo el envejecimiento de nuestras células, de acuerdo con un artículo publicado en la revista...
Número de adolescentes con VIH aumenta en un tercio
El número de adolescentes infectados por el virus del VIH se ha incrementado en un tercio durante la última década, dijo la agencia de...












