Google Glass y el futuro de la medicina
"Después de ocho días en el evento FutureMed, todavía estoy digiriendo la informacion. El futuro va a ser increíble. Las posibilidades son infinitas. Estos...
Nueva vacuna contra la Malaria reduce las infecciones en un 72%
Un equipo de investigadores japoneses dicen que han desarrollado una vacuna que reduce el riesgo de desarrollar malaria en los seres humanos en un...
La pérdida de peso puede aliviar la psoriasis
Las personas con psoriasis, que pierden peso, pueden experimentar un alivio de los síntomas de su enfermedad crónica de la piel, según un pequeño...
R-spondin2 | La hormona que estimula el crecimiento del ovario
Una hormona recién descubierta puede mejorar la eficacia de los tratamientos de fertilidad actuales para las mujeres y posiblemente conducir a nuevos tratamientos. Según...
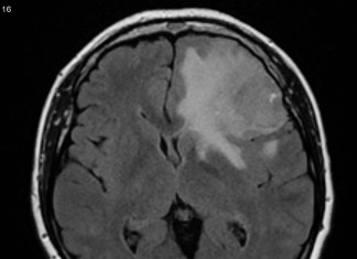
Sistema inmunitario en la lucha contra los tumores cerebrales
Investigación en la Universidad de Lund en Suecia dan la esperanza de que uno de los tipos más graves de tumor cerebral, el glioblastoma...
Nuevo descubrimiento permite el diagnóstico rápido y el tratamiento de la...
A pesar de numerosos avances en el tratamiento de infecciones y enfermedades, los tratamientos efectivos para la sepsis están difíciles de alcanzar. Un nuevo...
Omega-3 | Los ácidos grasos pueden ayudar a curar el corazón
Los procedimientos como la angioplastia y el bypass pueden salvar vidas, pero también pueden causar inflamación excesiva y cicatrización, que en última instancia puede...
Las mujeres pueden tener una defensa natural contra las enfermedades de...
Las mujeres parecen tener una defensa natural contra las infecciones de transmisión sexual más comúnes en el mundo, según un nuevo estudio.
Esta barrera protectora...
Las nuevas posibilidades para el tratamiento del cáncer de próstata
Los investigadores han identificado un subgrupo de células que podrían contribuir a la recurrencia del cáncer de próstata, la apertura de nuevas formas de...
Los neurocientíficos descubren nueva fase de desarrollo sináptico
Los estudiantes que se preparan para los exámenes finales podrían dejar de querer "quemar" las neuronas en una session de estudio nocturno. Neurocientíficos de...
Una análisis de sangre para diagnosticar la enfermedad de Alzheimer en...
La sangre puede ser una forma de detectar la enfermedad de Alzheimer en su inicio más temprano, dicen investigadores de la Clínica Mayo. Ellos...
Colesterol desencadena el crecimiento caótico de vasos sanguíneos
Un estudio de la Universidad de California, Escuela de Medicina de San Diego identifico una proteína que es responsable de la regulación del crecimiento...





