Examen de orina identifica bebés en riesgo de enterocolitis necrotizante
Bacterias intestinales anormales en los bebés prematuros se pueden encontrar días antes del inicio de la enterocolitis necrotizante (NEC) encuentra una nueva investigación en...
La cepa de cólera en Haiti está evolucionando siendo más virulenta...
La cepa de cólera que se transfiere a Haití en 2010, dispone de múltiples mutaciones en el gen de toxina que puede dar cuenta...
Melanomas pediátricos en aumento
La incidencia de melanoma en los niños ha aumentado en cerca de un 2 por ciento por año, y esta tendencia de la incidencia...
La circuncisión altera el microbioma del pene lo que podría explicar...
La circuncisión altera drásticamente el microbioma del pene, cambios que podrían explicar por qué la circuncisión ofrece una protección contra el VIH y otras...
Investigadores identifican vía que puede proteger contra la adicción a la...
Un estudio realizado por investigadores de los Institutos Nacionales de Salud da una idea de los cambios en el circuito de recompensa del cerebro...
Científicos identifican objetivo potencial para reducir la progresión de las metástasis
Un equipo de investigadores de la IRCM, dirigido por el Dr. Jean-François Côté, hicieron un descubrimiento importante en el cáncer de mama, que será...
Neuralgia: Congelación de los nervios puede terminar con el dolor crónico
Utilizando una pequeña bola de hielo, un tratamiento de radiología intervencionista mínimamente invasiva llamada Crioneurolisis corta el dolor crónico causado por daños en los...
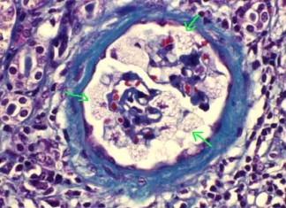
Investigadores desarrollan riñón implantable, bioingeniería (video)
Riñones de rata obtenidos desarrollados por el Hospital General de Massachusetts(MGH) fueran producidos con éxito tanto en un aparato de laboratorio y después de...
Se inicia el proyecto NeuroFabry, un proyecto de formación en enfermedad...
La enfermedad de Fabry es una enfermedad minoritaria poco conocida, incluso entre los especialistas de neurología. Con el propósito de mejorar el conocimiento, la...
Proteína importante en las enfermedades neurodegenerativas «fotografiadas»
Descubrimiento podría ayudar a desarrollar medicamentos para combatir enfermedades como el Alzheimer, el Parkinson o Huntington.
Se llama KMO, el nombre diminutivo en Inglés de...
Fractalquina: Nueva proteína para el control de la diabetes
Investigadores de la Universidad de California, San Diego School of Medicine han identificado un mecanismo biológico desconocido implicado en la regulación de las células...
Compuesto a base de soja pueden reducir la proliferación de células...
La investigación sobre un tratamiento a base de soja para el cáncer colorrectal, un agente prometedor en cáncer de ovario, y un objetivo nuevo...











