La obesidad promueve el cáncer de próstata mediante la alteración de...
El cáncer de próstata es uno de los cánceres más comunes en hombres y el tratamiento temprano generalmente es muy efectivo. Sin embargo, al...
La causa de la diabetes podría estar relacionada con el transporte...
Los científicos han estado tratando de explicar las causas de la diabetes por muchos años. Investigadores de la Universidad de Copenhague y Novo Nordisk...
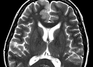
Test puede ayudar a hacer el diagnóstico de la enfermedad de...
Una nueva guía publicada por la Academia Americana de Neurología pueden ayudar a los médicos en el diagnóstico de la enfermedad de Creutzfeldt-Jakob. La...
El consumo de yogur, la presión arterial, y la hipertensión incidente
La adición de más yogur a su dieta sin aumentar el número de calorías que usted come puede ayudarle a reducir el riesgo de...
El aceite de sésamo y salvado de arroz reduce la presión...
Las personas que cocinan con una mezcla de aceites de salvado de arroz y sésamo registraron una caída significativa de la presión arterial y...
Estudio revela pista sobre el origen de la dislexia
Debido a que la dislexia afecta a tantas personas en todo el mundo, numerosos estudios han tratado de identificar la fuente del trastorno de...
Las pruebas de laboratorio muestran como una mujer contrajo la peste...
Funcionarios de salud de Oregon dicen que una mujer que trató de ayudar a su amiga a salvar la vida de un gato por...
Parche dental japónes podría ser el final de las caries
Los científicos en Japón han creado una película de espesor microscópico que puede recubrir los dientes para prevenir las caries individuales o para hacerlos...
Encontrados cinco genes que determinan las formas faciales
Cinco genes se han encontrado en las formas faciales humanos, según informado por los investigadores de los Países Bajos, Alemania, Canadá, el Reino Unido...
Los científicos revelan cómo el virus de Marburg «desconecta» el sistema...
Científicos del Instituto Scrippshan determinado la estructura de una proteína crítica del virus de Marburg, un primo cercano del virus Ebola. Estos virus causan...
La obesidad, un factor de riesgo entre la población desempleada.
Aprovechar una situación a priori desfavorable como puede ser el desempleo para mejorar problemas de salud y también el aspecto físico, empieza a ser...
La falta de oxígeno en las células de cáncer conduce al...
Parece como si un tumor es privado de oxígeno se reduciría. Sin embargo, numerosos estudios han demostrado que la hipoxia tumoral, en el que...












