
Una nueva guía publicada por la Academia Americana de Neurología pueden ayudar a los médicos en el diagnóstico de la enfermedad de Creutzfeldt-Jakob. La guía se publica en el 19 de septiembre de 2012, edición online de Neurology.
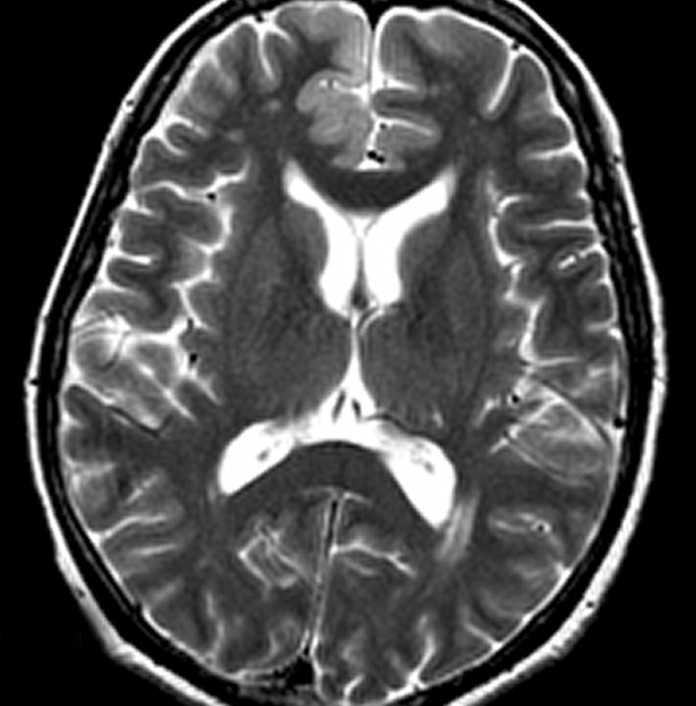
La enfermedad de Creutzfeldt-Jakob es una enfermedad rara, el cerebro se involucra en una demencia que progresa rápidamente. Los nuevos casos aparecen en cerca de una persona por millón cada año en el mundo y la confirmación del diagnóstico es un reto. Las personas con la enfermedad puede tener una amplia gama de síntomas. Muchas otras condiciones pueden causar síntomas similares, y con algunas de estas condiciones, la demencia puede ser tratada.
La guía se centró sólo en el diagnóstico de la enfermedad de Creutzfeldt-Jakob esporádica. Mientras que varias pruebas están disponibles para diagnosticar la enfermedad de Creutzfeldt-Jakob esporádica enfermedad, la biopsia cerebral es la prueba más exacta que se puede realizar en una persona que vive con la enfermedad. La biopsia cerebral es potencialmente peligrosa.
La guía examinó la exactitud diagnóstica de la prueba de la proteína llamada 14-3-3 en el líquido cefalorraquídeo. Los autores de las directrices revisaran toda la evidencia disponible sobre la prueba, que incluyó muestras de 1.849 personas con sospecha de enfermedad de Creutzfeldt-Jakob esporádica de la enfermedad de nueve estudios.
Ellos encontraron que en los casos donde los médicos tenían una fuerte sospecha sobre la enfermedad de Creutzfeldt-Jakob a ser la causa de la demencia, la prueba puede ser útil para reducir la incertidumbre de la diagnosis.
Sin embargo, la prueba no es lo suficientemente preciso para diagnosticar la enfermedad con certeza o para descartarlo por completo. La prueba tiene una sensibilidad de aproximadamente el 92 por ciento y una especificidad de alrededor del 80 por ciento.
La sensibilidad es el porcentaje de pacientes con la enfermedad que tienen un resultado positivo de la prueba, y la especificidad es el porcentaje de pacientes que no tienen la enfermedad y que están correctamente identificados como que tiene un resultado de prueba negativo. La directriz determina que la prueba de la proteína 14-3-3 puede ser útil cuando la probabilidad de que la persona que tiene la enfermedad de Creutzfeldt-Jakob es entre 20 por ciento y 90 por ciento.
«Esto significa que si el médico considera que el riesgo de la enfermedad de Creutzfeldt-Jakob es extremadamente baja o extremadamente alta, entonces las pruebas de proteína 14-3-3 no sería útil sin importar el resultado», dijo el autor guía Taim Muayqil, MBBS, FRCPC, de la Universidad King Saud en Riad, Arabia Saudita, y miembro de la Academia Americana de Neurología.
Muayqil señaló que sólo los médicos con experiencia en el diagnóstico de demencia deben poder determinar si la prueba de la proteína 14-3-3 se necesita y cómo los resultados deben ser interpretados.
ayuda para pacientes con la enfermedad de jakobs, creutzfeldt-jakob






