Las mujeres infectadas por Toxoplasma gondii tienen un mayor riesgo de...
Las mujeres infectadas con el parásito Toxoplasma gondii (T. gondii) , que se transmite por contacto con heces de gato o comer carne poco...
Los investigadores informan éxito en el tratamiento de trastornos del espectro...
El uso de un modelo de ratón del autismo, los investigadores de la Universidad de Cincinnati (UC) y el Hospital de Niños de Cincinnati...
México declara ‘emergencia’ por la gripe aviar
El gobierno mexicano declaró una emergencia nacional de sanidad animal el lunes en la cara de una epidemia de gripe aviar agresiva que ha...
China reporta brote de gripe aviar
Las autoridades de la región noroeste de control de Xinjiang ha sacrificado a más de 150.000 pollos después de un brote de la gripe...
¿Por qué fumar es «malo» para la trompa de Falopio? y...
El humo del cigarrillo reduce la producción de un gen conocido como trompa de Falopio "malo", que ayuda a explicar la relación entre el...
Cinco o más tazas de café al día reducen la posibilidad...
Las mujeres que beben cinco o más tazas de café al día reducen drásticamente sus posibilidades de éxito del tratamiento de FIV. De hecho,...
Gel muestra promesa como futuro anticonceptivo masculino
Los hombres pueden tener algún día una opción de control de natalidad que no sea el condón o la vasectomía - si las primeras...
Nueva terapia para el cáncer de mama triple negativo
Una nueva terapia prometedora para el cáncer de mama triple negativo ha sido reportado en la revista Breast Cancer Research por un equipo de...
Las adolescentes que más utilizan Internet y redes sociales sufren de...
Las adolescentes, que pasan largos períodos de tiempo cada día en Internet, con la participación y la comunicación en las redes sociales, son más...
Secretos de la resistencia a los medicamentos del cáncer de pulmón...
Las personas con cáncer de pulmón que son tratados con la droga Tarceva enfrentan a una incertidumbre enorme: aunque sus tumores inicialmente pueden reducirse,...
Un estudio muestra que la pérdida de control lleva a las...
Las personas que sienten una falta de control en sus vidas son más propensos a creer en la supuesta "habilidades psíquicas", un estudio de...
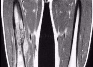
Nueva marca y nuevo objetivo en el sarcoma de Ewing
El sarcoma de Ewing es un cáncer de hueso comúnmente diagnosticada en cerca de 250 adolescentes de Estados Unidos por año. Si la quimioterapia...












