Los aguacates pueden ayudar a bajar el colesterol «malo»
Un nuevo estudio afirma que el consumo de un aguacate al día como parte de una dieta moderada en grasa podría ayudar a reducir...
Bayer crea un centro de recursos con más de 30 guías...
La empresa farmacéutica Bayer acaba de poner en marcha un centro de recursos de expertos en diabetes con el objetivo de que todas las...
El consumo de cocaína cuadruplica el riesgo de muerte súbita en...
Una pieza conjunta de la investigación llevada a cabo por la UPV / EHU, el Instituto Vasco de Medicina Legal, y el Centro de...
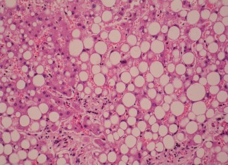
Los científicos consiguen reprogramar células de grasa para quemar calorías
Los científicos han descubierto el mecanismo genético a través de la cual las células de grasa blanca pueden ser reprogramadas para ser como las...
Sal, no la presión arterial alta, puede ser el culpable del...
Los autores del estudio - dirigido por el Dr. Lawrence Appel, director del Centro Welch para la Prevención, Epidemiología e Investigación Clínica en Medicina...
Avances diabetes tipo 1: GABA consigue revertir la diabetes tipo 1...
Investigadores del Centro de Investigación Keenan para Ciencias Biomédicas del Hospital St. Michael de Toronto, Canadá, informan que un nuevo tratamiento que consigue revertir...
El Páncreas artificial es mejor que la bomba en el control...
El primer ensayo clínico del mundo que compara tres formas de prestación de insulina para controlar los niveles de glucosa en pacientes con diabetes...
Melanoma: Inmunoterapia inhibe el crecimiento tumoral y aumenta la supervivencia
Inovio desarrolló una inmunoterapia ADN sintético que codifica el gen de la tirosinasa que es altamente expresado en casi el 80% de las células...
Un poco de alcohol en el embarazo no afecta el bajo...
Un nuevo estudio muestra que el consumo bajo de moderadas cantidades de alcohol durante el embarazo no parece estar asociado con un mayor riesgo...
Preservación de la fertilidad, debemos informar y educar a nuestra sociedad
Aspectos sociales y laborales hacen que la sociedad avance y se transforme, en algunos casos evolucionando en contra de nuestra propia naturaleza. Esto es...
Investigadores identifican nuevo trastorno neurológico relacionado con el Alzheimer
En un nuevo estudio, los investigadores han identificado una nueva enfermedad neurológica que provoca los mismos deterioros cognitivos como la enfermedad de Alzheimer, pero...
VPH oral se puede transmitir por vía de contacto oral-oral...
Un nuevo estudio afirma que las infecciones por virus del papiloma humano oral se pueden transmitir a través de rutas-orales-a-oral y por vía oral...












