Gel seguro y aceptable como aproximación a la prevención de VIH...
Una versión revisada de un gel anti-VIH desarrollado para uso vaginal se encontró seguro y aceptable por pruebas VIH-negativas en hombres y mujeres que...
La terapia combinada ayuda a eliminar la meningitis por hongos
Un régimen de medicamentos que contiene dos poderosos medicamentos antifúngicos anfotericina-B y flucitosina - redujo el riesgo de muerte por meningitis criptocócica en un...
La gripe aviaria 101: ¿Como de mala es la nueva cepa...
A principios de esta semana, un virus de la gripe aviar nunca antes encontrada en humanos atrajo la atención mundial después de haber infectado...
China reporta otra muerte por gripe aviar H7N9
Un hombre en la provincia china de Zhejiang ha muerto por la cepa H7N9 de la gripe aviaria, informó el miércoles la prensa estatal,...
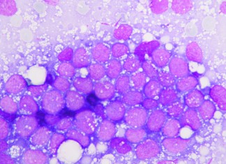
Reprogramación celular para curar la leucemia y el linfoma
Investigadores del Centro de Regulación Genómica (CRG) de Barcelona consiguiran reprogramar células de la leucemia para detener su malignidad. Las células resultantes permanecen benignas...
Las personas con obesidad presentan unos hábitos de alimentación y estilo...
Depresión, baja autoestima y ansiedad por la comida son características frecuentes en las personas que padecen obesidad. Con respecto a los hábitos...
Estudio demuestra las fuertes propiedades anti-cancerígenas de la soja
La harina de soja es un subproducto que se hace después de una extracción de aceite de semillas de soja. Es rico en proteínas,...
La gripe durante el embarazo relacionado con el autismo
Madres que dijeron que tenian gripe durante el embarazo tuvieran el doble de probabilidades de tener un hijo con autismo que aquellos que no...
Gurú de la India dice que reír de ti mismo es...
El "gurú de risas" Madan Kataria, tiene a miles de personas a nivel mundial "a carcajadas" en la búsqueda de una mejor salud, tiene...
FDA advierte a médicos de casos de Botox falsificado
La FDA han advertido a más de 350 medicos de que el Botox que pueden haber recibido de un proveedor canadiense podría ser falsificado...
Virus mortal descubierto en los murciélagos también salta especies
Cuatro nuevas formas de hantavirus, uno de los patógenos más virulentos transmitido de animales a los seres humanos, han sido identificados por la investigación...
El nuevo coronavirus está bien adaptado a los humanos pero es...
El nuevo coronavirus que ha surgido en el Oriente Medio esta bien adaptado y consigue infectar a los humanos pero estos podrían ser tratados...




