Nuevo método quirúrgico alivia los síntomas del ardor de estómago
Uno de cada tres austriacos sufren de acidez estomacal. Si los síntomas se vuelven crónicos, que puede conducir a enfermedades graves como el cáncer...
Muchos pacientes con psoriasis no analizan los factores de riesgo cardiovasculares
Muchos pacientes con psoriasis en placas moderada a grave son poco diagnosticados y tratados de factores de riesgo cardiovascular (CV), según un estudio publicado...
Narcisos pueden ser una cura futura para la depresión
Científicos de la Universidad de Copenhague han documentado que las sustancias de especies de plantas y Crinum Cyrtanthus - similar a las campanillas y...
Más casos de antrax en Georgia
Al menos 30 personas en Georgia han contraído el ántrax de este año, llevó a las autoridades a intensificar las medidas de seguridad, dijeron...
Las neuronas que controlan «el comer en exceso» también impulsan el...
Investigadores de la Yale School of Medicine se han concentrado en un conjunto de neuronas en la parte del cerebro que controla el hambre,...
Comer despacio reduce el riesgo de diabetes
Sus padres deben haber dicho mil veces - no comas tan rápido, más despacio! Ahora parece que la investigación científica lo confirma. En la...
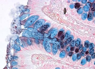
Los microbios del intestino luchan contra un conjunto común de virus...
El intestino humano es el hogar de un ecosistema lleno de microbios que está íntimamente involucrados en la salud humana y la enfermedad. Pero...
Descubierta la causa de una enfermedad de crecimiento poco común
Una rara enfermedad genética que hace que algunas partes del cuerpo crescer en exceso se ha relacionado con una mutación asociada al cáncer que...
Pérdida del glucagón responsable por la hipoglucemia en los adolescentes
En los adolescentes con diabetes tipo 1 la respuesta del glucagón a la hipoglucemia se pierde tan pronto como un mes y en una...
La proteína puede ser la clave de la psoriasis
La psoriasis es un trastorno autoinmune en la cual células de la piel proliferan fuera de control. Para algunas heridas difíciles de curar, el...
Pacientes con esclerosis múltiple tienen un menor riesgo de cáncer: investigación
Los pacientes con esclerosis múltiple (EM) parecen tener un menor riesgo de cáncer, según un nuevo estudio dirigido por investigadores de la Universidad de...
Roche investigada sobre fallos en la seguridad de información
Gigante farmacéutico suizo Roche está siendo investigado por la incapacidad de informar adecuadamente los efectos secundarios adversos de sus medicamentos, la Agencia Europea del...












