Nueva evidencia en el debate de la fructosa: ¿Podría ser saludable...
Un nuevo estudio realizado por investigadores del Hospital St. Michael sugiere que la fructosa puede no ser tan mala para nosotros como se pensaba...
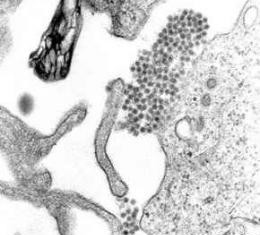
Aislados los anticuerpos humanos para el virus del dengue
Un grupo de científicos en Singapur y en el Reino Unido han aislado un anticuerpo humano capaz de neutralizar con eficacia el virus del...
La piel de la manzana aumenta la quema de calorías y...
La obesidad y sus problemas asociados como la diabetes y la enfermedad de hígado graso son los problemas mundiales de salud cada vez más...
Panel de la FDA respalda por unanimidad el fármaco carfilzomib contra...
Un panel federal de especialistas en cáncer, el pasado miércoles, por unanimidad, recomendó la aprobación de una droga experimental de Onyx Pharmaceuticals Inc. para...
Menos de un 10% de los casos de daño cerebral reciben...
La Fundación FIVAN y el Centro Superior de Investigación en Salud Pública, publican los primeros resultados del Observatorio Epidemiológico del Daño Cerebral en la...
Un nuevo medicamento que puede revertir los síntomas de la enfermedad...
Con un tratamiento único, los investigadores del Instituto Ludwig para la Investigación del Cáncer en la Universidad de California en San Diego School of...
Investigadores identifican proteína necesaria para regenerar nervios dañados en las extremidades
Una proteína necesaria para regenerar los nervios periféricos lesionados ha sido identificada por investigadores de la Universidad de Washington Escuela de Medicina de St....
Un nuevo enfoque para tratar infecciones del tracto urinario sin antibióticos
Un nuevo potencial enfoque para el tratamiento de infecciones del tracto urinario (ITU), que afectan a millones de personas al año - sin antibióticos...
Quiero saber donde está el amor: Investigación desarrolla mapa del cerebro...
Gracias a la ciencia moderna, sabemos que el amor vive en el cerebro, no en el corazón. Pero, ¿dónde esta? - ¿y es en...
Resultados reproductivos de mujeres que han tenido un embarazo ectópico
Las mujeres que experimentan un primer embarazo ectópico, cuando el embrión se implanta fuera del útero, generalmente en las trompas de Falopio son las...
La alegría de Nuhazet y Cristiano Ronaldo
El futbolista del Real Madrid y su representante, Jorge Mendes, financian en una clínica privada de Madrid el tratamiento de un niño canario con...
¿Cuál es tu nombre? No es la capacidad de su cerebro,...
La mayoría de nosotros lo ha experimentado. Te presentan a alguien, sólo para olvidar su nombre en cuestión de segundos. Usted intenta recordar, pero...












