Las mujeres mayores no deben tomar suplementos de calcio o vitamina...
El panel asesor del gobierno ha propuesto que las mujeres posmenopáusicas no deben tomar dosis bajas de suplementos de calcio o vitamina D para...
CPAP mejora la función sexual a los hombres con apnea del...
Los hombres que sufren de apnea obstructiva del sueño (SAOS) están viendo otro beneficio potencial del tratamiento con presión positiva continua de las vías...
Brasil alega pruebas con éxito para la vacuna contra parásitos
Investigadores brasileños dicen que han probado con éxito una vacuna contra la esquistosomiasis, una enfermedad causada por parásitos que afecta a más de 200...
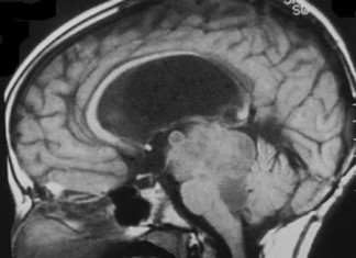
Investigadores determinan la origen de la forma más común de tumor...
Investigadores de la Johns Hopkins dicen haber descubierto uno de los mecanismos celulares más importantes que impulsan el crecimiento y la progresión de los...
La obesidad y la depresión resulta ser una causa de somnolencia...
¡Vamos a despertar y a perder peso! Tres estudios se presentarán hoy sobre el sueño, la conclusión es que el sueño es el responsable...
Potencial biomarcador para la neuropatía diabética
Un biomarcador emergente puede eventualmente conducir a nuevos enfoques para el tratamiento de diabéticos con riesgo de desarrollar daño en los nervios, los investigadores...
Sudáfrica, sobreviviente de quemaduras utilizo injertos de piel clonados
A los 3 años de edad, una niña africana que sufrió graves quemaduras en el 80 por ciento de su cuerpo después de un...
OMS agencia de cáncer: los gases de diesel causan cáncer
Las emisiones de diesel causan el cáncer, la Organización Mundial de la Salud declaró el martes, una decisión de una importante amenaza para la...
Capacidad de los componentes de curry para el tratamiento de enfermedades...
Una patente en EE.UU. emitió hoy a la Universidad de Rochester y otras dos entidades el poder del uso de compuestos relacionados con el...
Casos de MRSA en aumento de la Ciudad de Nueva York
Las tasas de hospitalización en la ciudad de Nueva York para pacientes con Staphylococcus aureus resistente a meticilina (SARM-AC), una infección bacteriana potencialmente letal...
La apnea del sueño en la adolescencia puede afectar las habilidades...
El número de niños con apnea obstructiva del sueño (OSA) disminuye a medida que entran en la adolescencia, pero en la adolescencia puede ser...
Inyecciones en la rodilla contra la artritis? Guarde su dinero, dice...
No es una buena noticia para los pacientes con rodillas artríticas: Las inyecciones de ácido hialurónico tienen poco efecto sobre el dolor y no...












