
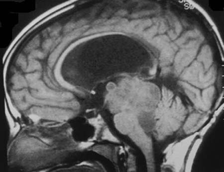
Investigadores de la Johns Hopkins dicen haber descubierto uno de los mecanismos celulares más importantes que impulsan el crecimiento y la progresión de los meningiomas, la forma más común de tumor de cerebro y la médula espinal. Un informe sobre el descubrimiento, publicado en la revista Molecular Cancer Research, podría abrir el camino al descubrimiento de mejores medicamentos para atacar estos tumores paralizantes, dicen los científicos.
«Estamos un paso más lejos hacia la identificación de genes que pueden ser objeto de tratamiento», dice el líder del estudio Gilson S. Baia, Ph.D., un investigador asociado de la facultad en el Departamento de Neurocirugía en la Facultad de la Universidad Johns Hopkins de Medicina.
Baia y su equipo basaron su estudio en el conocimiento de que en aproximadamente dos tercios de los casos de meningioma, los pacientes tienen una mutación en el gen supresor de tumores NF2, una alteración que altera la expresión de la proteína que se llama Merlín.
Merlín, a su vez, se inicia una vía de señalización celular llamada Hipona, y en el nuevo estudio, Baia y sus colegas determinaron que si Merlín no está presente, la vía de Hipona se interrumpe. En el desarrollo normal, Hipona controla el tamaño de los tejidos y órganos del cuerpo.
Se activa cuando el tejido necesita para crecer y también actúa como un freno sobre el crecimiento incontrolado. ? Si interrumpe, una cascada bioquímica produce el crecimiento tumoral descontrolado.En las células de meningiomas, de Baia estudió la activación de una proteína llamada YAP1, por sí proteína asociada a 1, el cual está regulado por Hipona. Sin ella, YAP1 se mueve en el núcleo celular y activa los genes cuyos productos desencadenar la tumorigénesis y la proliferación celular.
En los últimos años, se ha encontrado que la vía de Hipona juega un papel en el crecimiento de otros tipos de cánceres, pero esta es la primera vez que se ha implicado en la vía de meningioma Baia dice. YAP1 también ha sido implicado en otros tipos de cáncer, dice él, incluidos los de pulmón y tumores malignos de ovario, y la mutación de NF2 se ha encontrado en otras formas menos comunes de cáncer en el cerebro, así como en el mesotelioma, un tipo de cáncer de pulmón asociado principalmente con la exposición al amianto.
En su investigación, los investigadores recogieron 70 muestras de tejido humano meningioma y encontró que la expresión YAP1 estuvo presente en el núcleo de todas las muestras, independientemente de tumor «grado», lo que significa que parece ser un mecanismo molecular involucrado en las primeras etapas de meningioma desarrollo. En el laboratorio, Baia derribó la cantidad de YAP1 en el núcleo celular y se encontró que la proliferación del tumor se redujo. Cuando había más YAP1, las células crecieron y también migró más.
Baia y su equipo también inyectaron líneas celulares humanas en las que se sobreexpresa YAP1 en los cerebros de los ratones. «Con el exceso de YAP, todos los ratones se los tumores», dice Baia.
El siguiente paso, Baia, dice, consiste en determinar los genes específicos activados por la llegada de YAP1 en el núcleo de las células. Entonces, la esperanza es, los nuevos tratamientos se pueden desarrollar para apuntar a los genes, añade.La investigación fue apoyada por donaciones de Leonard y Phyllis Attman y la Fundación Meningioma Mommas.
Otros investigadores de Johns Hopkins que participan en el estudio incluyen Otavia L. Caballero, MD, Ph.D., Brent A. Orr, MD, Ph.D., Janelle Sy Ho, y Gregorio Riggins, MD, Ph.D.
cancer de hipona, meningioma cerebral regeneracion, meningioma en la medula espinal, meningioma obesidad, tumores de cerebro y medula espinal






