La supresión de una proteína impide que las células cancerosas se...
La supresión de una proteína recientemente identificada y caracterizada involucrados en la regulación de la división celular podría ser una nueva estrategia para combatir ciertos tipos de cáncer, ya que impide que las células malignas de la...
La oxitocina (oxytocin) ayuda que las personas se sienten más extrovertidas
Una nueva investigación de la Universidad de Concordia, publicado en la revista Psicofarmacología, ha descubierto que una forma de oxitocina intranasal puede mejorar la percepción de sí mismo en situaciones sociales. La oxitocina, una hormona...
Vacuna contra la gastroenteritis epidémica (norovirus) se está probando
Una nueva vacuna se está probando en los EE.UU. que pueden proteger contra el norovirus, que provoca la "gripe estomacal" o gastroenteritis viral aguda, que puede ocurrir en situaciones que viven confinados, como los cruceros, hogares de ancianos, hospitales,...
Investigadores consiguen diseñar anticuerpos contra el Alzheimer
Los investigadores del Instituto Politécnico Rensselaer han desarrollado un nuevo método para anticuerposencaminadas a combatir la enfermedad. El proceso es sorprendentemente simple y se utilizó para producir anticuerpos que neutralizan las partículas de proteína...
Alerta mundial después de que un laboratorio Holandes mutara el virus...
Ministros de salud del mundo, dijeran el viernes que estaban vigilantes después de un laboratorio holandés ter desarrollado una versión mutante del virus de la gripe aviaria que contagiosa entre los seres humanos.
"Tenemos...
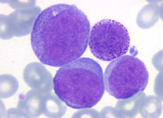
Investigadores reparan sistema inmunológico en pacientes con leucemia después de la...
Un nuevo tratamiento con pacientes con leucemia utilizan las propias células que combaten infecciones para protegerlos de la recurrencia del cáncer después del tratamiento con fludarabina basado en la quimioterapia, el...
Un estudio muestra que la gente puede adivinar la personalidad a...
Un interesante estudio realizado por investigadores de Polonia Agnieszka Sorokowska, SorokowskiPiotr y Szmajke Andrzej, de la Universidad de Wroclaw, ha encontrado que las personas son capaces de adivinar el tipo de una persona de la personalidad en una medida razonable,...
Equipo de investigación utiliza optogenética para contrarrestar los efectos de la...
Un equipo de investigadores suizos, dirigidos por Christian Lüscher de la Universidad de Ginebra,ha descubierto el primer vínculo causal entre el consumo de cocaína y los cambios físicos del cerebro y, al hacerlo, como lo describen en...
Nuevo avance anunciado en la reducción del colesterol «malo»
Los científicos de la Universidad de Leicester y la Universidad de California Los Angeles (UCLA)han anunciado un avance avance en la lucha contra peligroso colesterol "malo" en el cuerpo.
Se han solicitado dos patentes para el desarrollo...
Sirtuinas relacionadas con la longevidad estan involucradas en el control del...
Durante la última década, el biólogo del MIT Leonard Guarente y otros han demostrado que con muy bajo contenido calórico las dietas de provocar una respuesta fisiológica global que promueve la supervivencia, todo orquestado por un conjunto de proteínas...
Avance en la regulación del metabolismo de las grasas
Los científicos de Warwick Medical School han hecho un importante descubrimiento sobre el mecanismo que controla el cuerpo de 'cambiar la grasa ", arroja nueva luz sobre nuestra comprensión de cómo las proteínas regulan el control del apetito y la secreción...
Neurocientíficos consiguen mejorar la memoria utilizando la genética
Cuando la actividad de una molécula que normalmente son elevadas durante las infecciones virales se inhibe en el cerebro, los ratones aprender y recordar mejor, los investigadores del Baylor College of Medicine...











