Entrenar el cerebro para aumentar la confianza en uno mismo
Comer bien, hacer ejercicio y ser socialmente activos son algunos factores que pueden ayudar a aumentar la autoestima. Para algunas personas, sin embargo, el...
El virus del herpes congénito está ligado al cáncer común de...
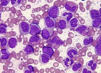
La evidencia muestra que en la mayoría de los casos de Leucemia Linfoblástica Aguda - el cáncer infantil más común - los orígenes son...
La terapia de luz «un salto enorme adelante» para tratamiento temprano...
Los resultados de un ensayo clínico de fase III sugieren que la terapia de luz puede ser una terapia eficaz, no quirúrgica para los...
Cáncer colorrectal: Molécula evita que las células se conviertan en cancerosas
Los investigadores han identificado un papel previamente desconocido para una molécula algo misteriosa. Parece activar la maquinaria en las células colorrectales para evitar que...
ERGE: Consejos y dieta de alimentos a consumir o evitar
La Enfermedad por Reflujo Gastroesofágico (ERGE) ocurre cuando un músculo al final del esófago - tubo que transporta la comida desde la boca hasta...
El ayuno podría ayudar a tratar la leucemia infantil más común
El ayuno intermitente puede ayudar a combatir el tipo más común de leucemia infantil - leucemia linfoblástica aguda - según una nueva investigación publicada...
¿Podría la ausencia de una proteína explicar 1 de cada 3...
Hasta un tercio de las personas con autismo puede carecer de una sola proteína en su cerebro, según una investigación publicada en Molecular Cell....
2016: ¿Hemos avanzado en la investigación médica?
A medida que vamos cerrando la cortina del 2016, reflexionamos sobre los avances médicos del año y la investigación clínica, y de ahí nos...
Parkinson: bloqueo de enzima cerebral corrige los síntomas motores en ratones
La nueva investigación sobre fármacos muestra resultados prometedores en ratones criados para desarrollar los síntomas motores de la enfermedad de Parkinson. Un equipo en...
Mascotas son un apoyo «único» a las personas con enfermedades mentales
Nuestros animales domésticos nos traen alegría y comodidad, y a veces incluso, nos ayudan cuando estamos enfermos. Pero aunque la utilidad de un animal...
Síndrome de Diógenes: Lo que necesitas saber
El síndrome de Diógenes es una condición de conducta para la cual el conocimiento es escaso y que suele asociarse con otras afecciones, como...
Magnesio en la dieta asociado con el riesgo reducido de enfermedades
Una dieta rica en magnesio puede reducir el riesgo de enfermedades como la cardiopatía coronaria, el accidente cerebrovascular y la diabetes tipo 2, según...












