El análisis cromosómico mediante microarrays para la evaluación genética de anomalías...
El análisis cromosómico mediante arrays será recomendado a partir de ahora como test genético de primera elección en embarazos que muestren anomalías fetales a...
Qué es más saludable, la mantequilla o la margarina?
La Mantequilla obtiene puntos por el gusto, la margarina por ser fácil de extender. Pero la opción más saludable no es estrictamente la mantequilla...
La exposición a los vapores de los cigarrillos electrónicos
Los cigarrillos electrónicos, cuando se utilizan en interiores, pueden exponer involuntariamente a las personas a la nicotina, según un estudio dirigido por Maciej Goniewicz,...
Los coágulos sanguíneos absorben las toxinas bacterianas
Los coágulos sanguíneos desempeñan un papel inesperado en la protección del cuerpo contra los efectos mortales de bacterias mediante la absorción de toxinas bacterianas,...
Investigación descubre nueva ruta para el desarrollo de fármacos contra la...
Una nueva investigación llevada a cabo por gastroenterología en el RCSI (Royal College of Surgeons de Irlanda) en conjunto con el Trinity College de...
Ensayo clínico para el potencial nuevo tratamiento para la psoriasis
Novartis Pharmaceuticals UK ha anunciado el lanzamiento del mayor ensayo clínico en el Reino Unido para investigar un posible nuevo tratamiento biológico para adultos...
Un paso más hacia la regeneración muscular
La terapia celular para el tratamiento de algunas enfermedades degenerativas, incluyendo distrofia muscular, podría ser una posibilidad clínica más realista, ya que los científicos...
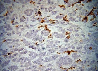
La actividad anti-tumoral de las células inmunes puede ser restaurado
Los investigadores de VIB basados en Lovaina han revelado un mecanismo que explica por qué se suprime la actividad anti-tumoral de las células inmunes...
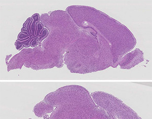
Bloquear el crecimiento del tumor cerebral con activación inmune
Investigadores de la Universidad del Instituto Cerebral Hotchkiss de Calgary (HBI) han hecho un descubrimiento que podría conducir a un mejor tratamiento para los...
Fumar durante el embarazo causa daño severo a las células de...
Fumar durante el embarazo causa un daño severo a las células de ADN de la placenta y significativamente perjudica su función, la nueva Universidad...
Descubierto el interruptor del suicidio celular
Un sistema de alerta temprana recién descubierto desencadena el suicidio celular cuando un sistema de edición de ARN crítico rompe.
La transcripción de ARN inicial...
La píldora anticonceptiva masculina esta más cerca
Una píldora anticonceptiva para hombres ha dado un paso más después de pruebas con éxito ratones, según un estudio publicado el martes.
Científicos de la...











