Como emerge la diabetes. Investigadores realizan seguimiento de los primeros pasos...
Los científicos han echado un vistazo muy detallado de los pasos iniciales que se producen en el cuerpo cuando la diabetes mellitus tipo 1 se desarrolla por primera vez en un...
Investigadores descubren nueva diana farmacológica para el cáncer de pulmón
Fármacos que se dirigen una enzima implicada en la inflamación podría ofrecer una nueva vía para el tratamiento de ciertos tipos de cáncer de...
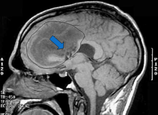
AMG 595, droga para el glioma maligno en ensayo experimental con...
La Universidad de California Cancer Institute es uno de los tres centros reconocidos a escala internacional para poner a prueba la seguridad de un...
Tuberculosis, nueva tecnología de investigación publicada
Según la Organización Mundial de la Salud (OMS), un tercio de la población mundial está actualmente infectada con la bacteria de la tuberculosis. La...
Los productos químicos en el tabaco ligado a menores tasas de...
Las chicas jóvenes que están expuestos al humo del cigarrillo pueden experimentar disminución de la fertilidad más adelante en la vida.
Los investigadores de la...
Roche advierte de la falsificación de Avastin en USA
El fabricante de la exitosa droga contra el cáncer Avastin advierte a médicos y pacientes acerca de la falsificación del producto que es distribuido...
«Muy prometedor» tratamiento para la enfermedad de Huntington descubierto
Los investigadores médicos de la Universidad de Alberta han descubierto una terapia prometedora para la enfermedad de Huntington que restaura la pérdida de habilidades...
Estrabismo: una cirugía simple para una condición compleja
Las personas con estrabismo (desalineación y movimiento limitado de una o más ojos) son a menudo objeto de burlas por su apariencia cruzado de...
Los científicos trabajan para separar la proteína que el VIH utiliza...
Una de las frustraciones para los científicos que trabajan en VIH / SIDA, los tratamientos ha sido la capacidad del virus de la inmunodeficiencia...
Nueva vacuna contra el VIH probada en las personas
Científicos del Instituto de Medicina Tropical de Amberes, Hospital Universitario de Amberes y la Universidad de Amberes, han puesto a prueba una nueva "vacuna...
No ignore los ronquidos infantiles (sueño)
El ronquido es común en los niños, pero en algunos casos puede ser un síntoma de un grave problema de salud pediátrica llamada apnea...
Tenofovir, medicamento contra el VIH, relacionado con daño renal
Tenofovir, uno de los medicamentos antirretrovirales más eficaces y más comúnmente prescritos para el VIH / SIDA, se asocia con un riesgo significativo de...











