
Se identificó una molécula que puede revertir los síntomas relacionados con el aprendizaje de los déficits de la trisomía 21 o síndrome de Down, en ratones tratados en el nacimiento, revela un equipo de investigadores estadounidenses en la revista Science Translational Medicine.

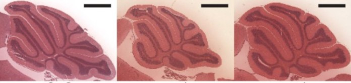
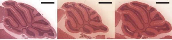
Una dosis de una pequeña molécula llamada SAG permite el cerebelo de ratones desarrollar normalmente si capacidad para estimular el aprendizaje y la memoria, de acuerdo a los investigadores de la Universidad Johns Hopkins y los Institutos Nacionales de Salud Los ratones usados en el experimento fueron diseñados genéticamente para replicar trisomía humana.
«La mayoría de las personas con trisomía 21 tiene un cerebro 60% menor que su tamaño normal, » dice Roger Reeves, Instituto de Medicina Genética de la Universidad Johns Hopkins en Baltimore, y co-autor del estudio. » Tratamos a ratones con síntomas tales como el síndrome de Down con un compuesto que creemos que puede normalizar el crecimiento del cerebelo – y funcionó perfectamente», añade Roger Reeves , citó una declaración de su universidad. «Lo que no esperábamos era los efectos sobre el aprendizaje y la memoria, que por lo general son controladas por el hipocampo y el cerebelo no . »
Los científicos preguntan, por ahora, la aplicación de la molécula en los seres humanos con trisomía 21, ya que su uso en la seguridad todavía no está garantizada.
La trisomía 21 es un trastorno genético que se traduce en más de una copia del cromosoma 21 ( tres en vez de los dos habituales ). No tiene cura y se traduce en una discapacidad cognitiva, en particular, los rasgos faciales, problemas cardíacos y otros problemas de salud.
El hecho de que se cambia un mecanismo biológico importante en el cerebro tiene, por ejemplo, el riesgo de cáncer, ya que puede desbloquear el crecimiento excesivo de las células, y advirtió, señalando que muchos estudios aún no se han hecho. En la medida en la trisomía 21 requiere más copias adicionales de genes en el cromosoma 21 alberga más, ningún tratamiento «es un gran reto «, destaca Roger Reeves.
trisomia 21 y parkinson






