
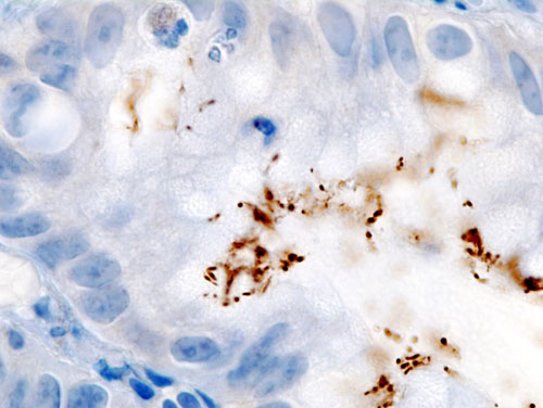
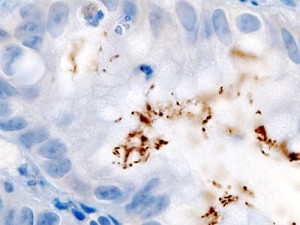
Adenocarcinoma gástrico, una forma de cáncer de estómago, es la segunda causa más común de muerte por cáncer, que representan el 10 por ciento de todas las muertes por cáncer. La bacteria Helicobacter pylori, que se encuentra en la mucosa gástrica de más de la mitad de las personas en el mundo, hace el adenocarcinoma gástrico. Sin embargo, menos del uno por ciento de los que albergan la bacteria desarrolla este cáncer.
Para entender por qué el riesgo es mayor en unos que en otros, Barbara Schneider, de la Universidad de Vanderbilt Medical Center en Nashville y sus colegas estudiaron dos poblaciones geográficamente cercanos con una prevalencia similar de H. pylori, pero muy diferentes tasas de adenocarcinoma gástrico. Ellos encontraron que cuando las cepas de H. pylori han tenido mucho tiempo para coevolucionar junto con sus anfitriones humanos, hay un riesgo reducido de adenocarcinoma gástrico. La investigación aparece en las Actas de la Academia Nacional de Ciencias.
Schneider y su equipo sabían que en Centro y Sur América, las personas que viven en la costa son más propensas a desarrollar cáncer gástrico y lesiones gástricas precancerosas del estómago que los que viven en las montañas. Querían ver si las diferencias genéticas entre las poblaciones costeras y de montaña, así como entre el H. pylori que llevaban representó la diferencia de riesgo.
Los investigadores estudiaron a residentes de dos ciudades de Colombia: Túquerres en las montañas y Tumaco en la costa. Aunque las dos ciudades se encuentran a sólo 200 kilómetros de distancia, y ambos tienen alrededor de un 90 por ciento la tasa de infección por H. pylori, el riesgo de adenocarcinoma gástrico es 25 veces más alta entre las personas en Túquerres, ya que se encuentra entre las personas en Tumaco.
Cuando el equipo examinó el ADN de los sujetos y su mucosa gástrica, se encontraron con la población Túquerres a ser en su mayoría de ascendencia amerindia. Sin embargo, el pueblo de Túquerres tenían más probabilidades de albergar cepas de H. pylori procedentes de Europa que de Asia oriental, donde se originaron los amerindios. El equipo de Schneider piensa conquistadores españoles que llegaron a las Américas en el siglo 15 trajo estas cepas europeas con ellos. Por otro lado, el pueblo de Tumaco, en su mayoría descendientes de los esclavos africanos, fueron en su mayoría de ascendencia africana. Su mucosa intestinal contenía principalmente cepas de H. pylori de África.
El equipo de Schneider cree que las cepas africanas que se encuentran en la población de Tumaco coevolucionaron con sus huéspedes humanos, llegando a ser gradualmente menos virulenta. Con el tiempo, los patógenos tienden a ser menos peligrosos para sus anfitriones. Las cepas europeas, introducidas a la población Túquerres sólo recientemente, han tenido mucho menos tiempo para coevolucionar. Por lo tanto, son mucho más peligrosas para la población de Túquerres.






