
Un equipo de investigadores de Penn, dirigida por Mitchell Lazar, MD, PhD, director del Instituto de Diabetes, Obesidad y Metabolismo en la Facultad de Medicina de Perelman, de la Universidad de Pensilvania, informa en la revista Nature Medicine que los ratones en los que una enzima llamada histona deacetilasa 3 (HDAC3) se ha eliminado en los hígados grasos de forma masiva, pero bajando el azúcar en la sangre, y por lo tanto estaban protegidos de la intolerancia a la glucosa y resistencia a la insulina, el sello distintivo de la diabetes.
La resistencia a la insulina ocurre cuando el cuerpo hace un trabajo pobre en la reducción de azúcar en la sangre. Por lo general, los pacientes con obesidad y diabetes tipo 2 tienen hígados grasos, y el dogma en el campo, dice Lazar, es que los hígados grasos contribuyen a la resistencia a la insulina y la diabetes en un círculo vicioso. Estos hallazgos son «un claro contraejemplo de esta forma de pensar», dice.
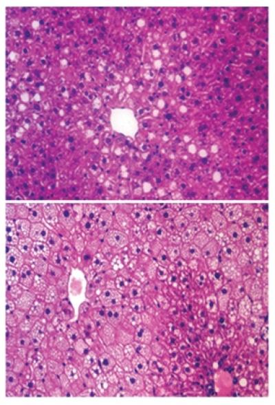
Los investigadores observaron que el exceso de grasa en el hígado no causa resistencia a la insulina, ya que fue secuestrado en el interior de las gotas de lípidos diminutas células del hígado, recubierta por una proteína específica. Los metabolitos que de otro modo serían utilizados por el organismo para producir glucosa fueron re-enrutado para hacer grasa, dando lugar a glucosa en el torrente sanguíneo reducido. La ventaja de la azúcar en la sangre se ve atenuada por el exceso de grasa en el hígado, que puede llevar a sus propios problemas, incluyendo la insuficiencia hepática.
Las células de alto grado en grasas-inducidos por la dieta hígados grasos en ratones de tipo salvaje se caracteriza por las gotas de lípidos más grandes, pero específicos de hígado en ratones knock-out HDAC3 una dieta alta en grasas se caracteriza por pequeñas gotas de lípidos, aunque el contenido de lípidos totales aumentaron en comparación con los ratones de tipo salvaje.
¿Por qué el cuerpo tiene este proceso de cambio de ruta en el primer lugar? El equipo observó el ritmo circadiano de los ratones nocturnos en busca de respuestas. Cuando está inactivo durante el día, el ratón HDAC3 emigra a los genes para desactivar la síntesis de grasa. Esto permite a los metabolitos producir glucosa para aprovisionar de combustible en el cuerpo dormido. Al despertar, durante la noche, el cuerpo del ratón crea un interruptor metabólico, anticipándose a la ingesta de alimentos, y se convierte en la síntesis de grasa para almacenar energía. El ciclo de en-y-fuera de HDAC3 está directamente regulada por el reloj circadiano interno, y el sistema se derrumba cuando HDAC3 se elimina.
Los resultados sugieren que el acordonamiento de los lípidos en el hígado, en muchas gotas pequeñas, recubierta,s ayuda para manejar la resistencia a la insulina en el cuerpo. Y los resultados hacen cimentar el hecho de que HDAC3 es fundamental en la integración de las señales del reloj interno del cuerpo para coordinar el metabolismo, especialmente en el hígado, las notas que el primer escritor Zheng Sun, PhD, investigador postdoctoral en el laboratorio de Lazar.
Los resultados demuestran que la grasa en sí no es necesariamente del todo malo. «Importa mucho cómo la grasa se almacena y maneja», señala Lazar. «También pone de relieve la importancia de cumplir con nuestro reloj circadiano interno. Por ejemplo, ya que nuestro cuerpo no tiene previsto realizar la comida por la noche y se está preparando para generar mayor cantidad de glucosa, durante la noche, comer, es probable que se disparan azúcar en la sangre y por lo tanto puede contribuir a la la diabetes «.
el azúcar se convierte en grasa, azucar mantiena la grasa, exceso de grasa se convierte en tag en diabetes






