
Como un puente que cruza un río para conectar dos grandes metrópolis, el cuerpo calloso es el principal canal para el flujo de información entre los hemisferios derecho e izquierdo de nuestro cerebro. Ahora, los neurocientíficos en el Instituto de Tecnología de California (Caltech) han encontrado que las personas que nacen sin ese vínculo, una condición conocida como agenesia del cuerpo calloso, o AGCC-aún muestran notablementela comunicación normal a través de la brecha entre las dos mitades de su cerebro.Nuestros cerebros no están realmente en reposo. Incluso cuando soñamos despiertos, hay una enorme cantidad de comunicación pasando entre las diferentes áreas en el cerebro. De acuerdo con Michael J. Tyszka, autor principal del Journal of Neuroscience y director asociado del Centro de Caltech imágenes cerebrales, muchas áreas del cerebro muestra que varía lentamente patrones de actividad que son similares entre sí. El hecho de que estas áreas se sincronizan ha llevado a muchos científicos a suponer que todos ellos son parte de una red interconectada llamada de una red de descanso del estado. Para su sorpresa, Tyszka y su equipo encontraron que estas redes de descanso Estado mirada esencialmente normal en las personas con AGCC, a pesar de la falta de conectividad.
«Esto fue una verdadera sorpresa», dice Tyszka. «Esperábamos ver el acoplamiento mucho menos entre el cerebro izquierdo y derecho en este grupo-después de todo, que se están perdiendo alrededor de 200 millones de conexiones que normalmente estaría allí. ¿Cómo se las arreglan para tener una comunicación normal entre los lados izquierdo y derecho del cerebro sin cuerpo calloso? »
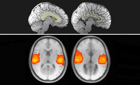
El trabajo utiliza la resonancia magnética funcional (fMRI) para demostrar que la actividad sincronizada entre el cerebro izquierdo y derecho perdura incluso este tipo de cableado radical de las conexiones nerviosas entre los dos hemisferios. La presencia de patrones simétricos de la actividad en las personas que nacen sin un cuerpo calloso más destacados notable plasticidad del cerebro y su capacidad para compensar, dice el coautor Lynn Paul, miembro del personal de investigación y profesor de psicología en Caltech. «Se desarrolla estas redes fundamentales, incluso cuando los hemisferios izquierdo y derecho son estructuralmente desconectado.»
El estudio que encontró que las potentes redes es parte de un programa continuo de investigación dirigido por Paul, quien ha estado estudiando AGCC durante varias décadas. AGCC se presenta en aproximadamente uno de cada 4000 nacidos vivos. El cuerpo calloso típico consta de casi 200 millones de axones, las conexiones entre las células del cerebro y es el paquete más grande de fibras en el cerebro humano. En AGCC, esas fibras no cruzar la brecha entre los hemisferios durante el desarrollo fetal, lo que obligó a los dos hemisferios del cerebro para comunicarse con los medios más indirectos y desconocidos en la actualidad.
«En los años 1960 y 1970, Roger Sperry de Caltech estudió» la división del cerebro «pacientes en los que fue separado del cuerpo calloso cirugía como tratamiento para la epilepsia», explica Paul. «Nuestra investigación sobre AGCC se ha movido en una dirección diferente y se centra en un cerebro natural malformación que ocurre antes del nacimiento. Esto nos permite examinar cómo y en qué medida, el cerebro puede compensar la pérdida del cuerpo calloso medida que aumenta la edad adulta. »
Según el equipo, los resultados son especialmente valiosos a la luz de las teorías actuales que enlazan las conexiones del cerebro afectada, con condiciones clínicas que incluyen el autismo y la esquizofrenia.
«Ahora estamos examinando temas AGCC que también están en el espectro del autismo, con el fin de obtener una visión sobre el papel de la conectividad cerebral en el autismo, así como en las interacciones sociales sanas», dice Tyszka. «Cerca de un tercio de las personas con AGCC también con autismo, y la conectividad alterada en el cuerpo calloso se ha encontrado en el autismo. La compensación extraordinaria en el cerebro de las redes funcionales que hemos encontrado aquí lo que puede tener importantes implicaciones también para la comprensión de la función del cerebro de las personas con autismo. »
«Esto fue una verdadera sorpresa», dice Tyszka. «Esperábamos ver el acoplamiento mucho menos entre el cerebro izquierdo y derecho en este grupo-después de todo, que se están perdiendo alrededor de 200 millones de conexiones que normalmente estaría allí. ¿Cómo se las arreglan para tener una comunicación normal entre los lados izquierdo y derecho del cerebro sin cuerpo calloso? »
El trabajo utiliza la resonancia magnética funcional (fMRI) para demostrar que la actividad sincronizada entre el cerebro izquierdo y derecho perdura incluso este tipo de cableado radical de las conexiones nerviosas entre los dos hemisferios. La presencia de patrones simétricos de la actividad en las personas que nacen sin un cuerpo calloso más destacados notable plasticidad del cerebro y su capacidad para compensar, dice el coautor Lynn Paul, miembro del personal de investigación y profesor de psicología en Caltech. «Se desarrolla estas redes fundamentales, incluso cuando los hemisferios izquierdo y derecho son estructuralmente desconectado.»
El estudio que encontró que las potentes redes es parte de un programa continuo de investigación dirigido por Paul, quien ha estado estudiando AGCC durante varias décadas. AGCC se presenta en aproximadamente uno de cada 4000 nacidos vivos. El cuerpo calloso típico consta de casi 200 millones de axones, las conexiones entre las células del cerebro y es el paquete más grande de fibras en el cerebro humano. En AGCC, esas fibras no cruzar la brecha entre los hemisferios durante el desarrollo fetal, lo que obligó a los dos hemisferios del cerebro para comunicarse con los medios más indirectos y desconocidos en la actualidad.
«En los años 1960 y 1970, Roger Sperry de Caltech estudió» la división del cerebro «pacientes en los que fue separado del cuerpo calloso cirugía como tratamiento para la epilepsia», explica Paul. «Nuestra investigación sobre AGCC se ha movido en una dirección diferente y se centra en un cerebro natural malformación que ocurre antes del nacimiento. Esto nos permite examinar cómo y en qué medida, el cerebro puede compensar la pérdida del cuerpo calloso medida que aumenta la edad adulta. »
Según el equipo, los resultados son especialmente valiosos a la luz de las teorías actuales que enlazan las conexiones del cerebro afectada, con condiciones clínicas que incluyen el autismo y la esquizofrenia.
«Ahora estamos examinando temas AGCC que también están en el espectro del autismo, con el fin de obtener una visión sobre el papel de la conectividad cerebral en el autismo, así como en las interacciones sociales sanas», dice Tyszka. «Cerca de un tercio de las personas con AGCC también con autismo, y la conectividad alterada en el cuerpo calloso se ha encontrado en el autismo. La compensación extraordinaria en el cerebro de las redes funcionales que hemos encontrado aquí lo que puede tener importantes implicaciones también para la comprensión de la función del cerebro de las personas con autismo. »






