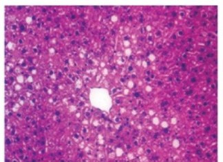
La grasa en el hígado recibe una llamada de atención que...
Un equipo de investigadores de Penn, dirigida por Mitchell Lazar, MD, PhD, director del Instituto de Diabetes, Obesidad y Metabolismo en la Facultad de...
Una nueva investigación sobre la adicción a Facebook
¿Es usted un entusiasta de los medios de comunicación social, o simplemente un adicto a Facebook? Los investigadores de Noruega han desarrollado un nuevo...
Dentro de 0,01 milímetros de margen de error para las operaciones...
Con menos de un margen de 0,5 mm de error, Neuroglide, el robot desarrollado por los investigadores en el laboratorio de robótica, permite la...
Sobrepeso? Investigación explica cómo el sueño es importante para un peso...
Si usted está contando calorías para bajar de peso, que puede ser sólo una parte de la ecuación de la pérdida de peso, dice...
Buenas vibraciones: el uso de sonido para tratar enfermedades
A muchos de nosotros nos encanta masajes, pero imagine un masaje tan profundo que los tejidos, órganos y células también podrían tener "un masaje".
Eso...
Cáncer de piel : cada vez más común en adolescentes y...
Con el verano a la vuelta de la esquina, los pediatras del Centro Infantil Johns Hopkins están haciendo sonar la alarma sobre una tendencia...
Obesidad: No son las calorías – es el azúcar
No se trata de calorías - es el azúcar. Ese es el mensaje de uno de los más conocidos expertos del país sobre...
Un paso más cerca para la vacuna contra la meningitis B
Los investigadores dijeron el lunes que fueron un paso más cerca de desarrollar una vacuna contra el tipo de meningitis que afecta sobre todo...
Smilagenin representa un nuevo enfoque para el tratamiento de la neurodegeneración
Erxi Wu, profesor asistente de ciencias farmacéuticas, y Shuang Zhou, estudiante de doctorado en el laboratorio de Wu, co-escribió el artículo, "Smilagenin atenúa la...
Nueva técnica que podría identificar los medicamentos que ayudan a combatir...
Los resultados de un nuevo estudio demuestran la viabilidad de una nueva estrategia en el descubrimiento de fármacos: los números de detección de grandes...
Administración del tratamiento del cáncer
La humanidad se encuentra en la búsqueda constante de mejoras en los tratamientos contra el cáncer, y la Estación Espacial Internacional ha proporcionado una...
Primero implante de retina en paciente ciego
Retina Implant AG, el desarrollador de implantes subretinianas para los pacientes ciegos por retinitis pigmentosa (RP), anunció que los primeros pacientes del Reino Unido...












