Flavonoides y suplementos pueden evitar la formación de coágulos de sangre
Un compuesto llamado Flavonoides, que suele encontrarse en las frutas y verduras y se venden sin receta como un suplemento dietético, ha demostrado que...
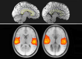
Neurocientíficos investigan comunicación del cerebro
Como un puente que cruza un río para conectar dos grandes metrópolis, el cuerpo calloso es el principal canal para el flujo de información entre los hemisferios derecho e izquierdo de nuestro cerebro. Ahora,...
Menos tiempo de sueño puede ser la respuesta para que los...
La restricción de la cantidad de tiempo que un niño pasa en la cama podría reducir los niveles de sueño relacionados con el estrés...
Las células T asesinas atacan la grasa relacionada con la diabetes
Durante años, los investigadores han sabido que la obesidad, la diabetes tipo 2 y la inflamación de bajo nivel están vinculados, pero la forma...
Medicamento para la diabetes podría tratar la causa principal de ceguera...
Investigadores de la Universidad de Texas Medical Branch en Galveston han descubierto un medicamento que ya está prescrito a millones de personas con diabetes...
La inserción del dispositivo intrauterino vinculado a la pérdida de peso...
Las mujeres que se someten después del parto o la inserción de un sistema intrauterino (DIU) experimentan una pérdida de peso en los dos...
Descubrimiento en trabajos con H1N1 abre camino para la vacuna universal...
Investigadores de la Universidad de British Columbia han encontrado una forma potencial de desarrollo de vacunas universales contra la gripe y eliminar la necesidad...
Científicos descubren que las anomalías cromosómicas se asocian con el envejecimiento...
Dos nuevos estudios han encontrado que las grandes anomalías estructurales en los cromosomas, algunos de los cuales se han asociado con mayor riesgo de...
Científicos descubren nuevo tipo de célula con función clave en el...
Para la mayoría de las personas con asma, un par de caladas de un inhalador lleno de esteroides hace que la respiración vuelva al...
Nueva prueba de sangre para las anomalías fetales
Una nueva prueba no invasiva para detectar ciertas anormalidades en el feto en el embarazo se puso en marcha y debe estar ampliamente disponible...
La evidencia científica demuestra por qué los curanderos consiguen ver el...
Investigadores en España encontraron que muchas de las personas que afirman ver el aura de las personas - tradicionalmente llamados "curanderos" - en realidad...
La gripe aviar se puede transmitir en los mamíferos
En un estudio muy esperado que ayudó a provocar un polémico debate sobre la conveniencia de la realización de investigaciones que tiene el potencial...












